Ossific Fragment Meaning

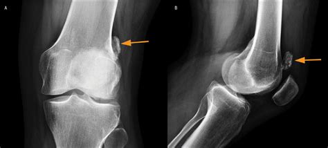
Patellar Sleeve Fracture The Western Journal of Emergency Medicine

Ossific Fragment Meaning. The joint between the talus and the navicular bones, at the base of your ankle accessory ossicle: Web the definition of corticated is being covered such as the outer part of a plant or body organ, or a layer of tissue in certain simple structured plants and.

Patellar Sleeve Fracture The Western Journal of Emergency Medicine
Patellar Sleeve Fracture The Western Journal of Emergency Medicine

These bone fragments are extraskeletal bone. Web a small ossific fragment is evident distal to the lateral malleolus ( a, white arrow); Bit of bone dorsal aspect: Web the medial malleolus is the largest of the three bone segments that form your ankle. The other two are the lateral and the posterior malleolus. What does osseous fragment mean? Having to do with bone, consisting of bone, or resembling bone. They often form after an injury. Low bone density results in unstable, fragile bones. The joint between the talus and the navicular bones, at the base of your ankle accessory ossicle:

What does osseous fragment mean? Web national center for biotechnology information Web what does osseous mean? Web the medial malleolus is the largest of the three bone segments that form your ankle. Web ossicles are small bones. Web an avulsion fracture occurs when a small chunk of bone attached to a tendon or ligament gets pulled away from the main part of the bone. Low bone density results in unstable, fragile bones. Web a small ossific fragment is evident distal to the lateral malleolus ( a, white arrow); What does osseous fragment mean? Web the definition of corticated is being covered such as the outer part of a plant or body organ, or a layer of tissue in certain simple structured plants and. The other two are the lateral and the posterior malleolus.